Contents
結論
- 心原性は上肺有意、ARDSは下肺有意
- 心原性は胸膜直下はスペア、ARDSは胸膜直下まで均等分布
ARDS(急性呼吸窮迫症候群)とは

ARDSとは、その名前の如く症候群です。
例えば、肺炎の治療中に突然肺が白くなり、酸素化が極端に悪くなるような疾患の総症です。
原因は様々あり、大きく分けると肺炎が原因の肺性か、それ以外の重症病態で起こる肺外性に分けられます。
診断の特徴

ARDSに限らず診断の前提として、人が勝手に決めた恣意的なものであるということです。
現状では、病理組織が診断のゴールとスタンダードとされています。
とはいえ、その病理組織を読むのも病理医の仕事です。
つまり、100%確実な診断というものは存在しないという結論に帰結されます。
とはいえ、診断がなければ事が前に進まず治療もできなくなります。
ちなみに、ARDSの病理学的特徴は、DAD(びまん性肺傷害)が特徴です。
しかし、ARDSと臨床診断された人の中でも、DADパターンと判断された人は少なかったという報告もあるようです。
ARDSの診断基準

じゃあ、ある程度のコンセンサスを持って妥当性をもつ診断基準を作成しましょう、ということで作られたのがARDSの診断基準です。
診断基準の作成には、他にも統一された診断基準を以て研究が行えますので、ポピュレーションバイアスがかかりづらいとされています。
ARDSの診断基準は、途中で変わっています。
いわゆるベルリン定義と呼ばれるものです。
2012年に発表されました。
ベルリンの国際学会で発表されたから、Berlin definitionという、なんだかカッコイ名前になっています。
ベルリン定義の詳細

診断基準は、わからない場合はメモを見れば良いです。
一言で言えば、急性呼吸不全で両側のびまん性浸潤影を伴い心原性肺水腫を否定されたものです。
ベルリン定義からは、7日以内という時間経過や、人工呼吸機を使用した前提となった定義とされています。
そのため、NPPV(非侵襲的陽圧換気)を含む人工呼吸器を使い、PEEP(呼気終末陽圧)を5cmH2O以上使用されているという事が前提です。
ところが、この「心原性肺水腫以外」という部分が非常に悩ましい場合があります。
試験問題では、突然の両側びまん性浸潤影にステロイドを使う、ではおそらくバツですが、臨床的には特に慣れていない場合だと使ってしまう場合があります。
そんな時に、画像所見のポイントをおさらいしておきます。
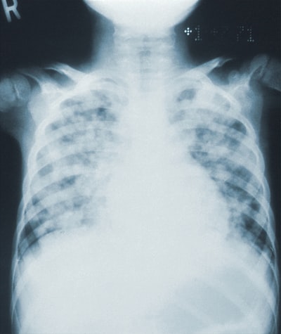
ARDSと心原性肺水腫の画像所見のポイント

どちらも両肺に広範なすりガラス影や浸潤影を伴います。
もう少し詳しく読み込むと、以下のようなポイントの違いがあります。
ARDS
- 下肺優位
- 胸膜直下まで均等分布
- 左肺優位の胸水
- 肺血管腫大なし
- spared lobule(汎小葉性辺縁陰影中の正常に見える所見;病理では異常所見を伴う)
心原性肺水腫
- 上肺優位
- 再外層の胸膜直下への分布が少ない
- 右側優位の胸水
- 肺血管の腫大、小葉間隔壁の肥厚
- 心拡大や上縦隔の拡大
まとめ

- 臨床的には、心原性肺水腫と非心原性肺水腫の区別が困難な場合がある
- それぞれ、心原性と非心原性の所見や除外のための所見を集めて判断するしかなさそう
- その1つとして、胸部CTを含めた画像所見は非常に有益な情報を与えてくれる